マイクロスコープ治療・CT診断・再生療法・インプラント・審美治療・噛み合わせ・矯正・メインテナンス


 




 


院長は、ITI 国際インプラント・再生医学会公認インプラントスペシャリストの資格を取得しております。

インプラント治療に関してお悩み等ございましたら、お気軽にご相談下さい。



インプラント治療とは
インプラント治療とは、チタン製の人工の歯の根(インプラント)を顎に植え、骨と直接結合するのを待って、土台を立て、人工の歯を被せる治療法です。
手術を必要としますが、インプラントを意識することなく、自分の歯と変わらないように噛むことができるようになります。
インプラント治療は1965年から始まり、すでに50年以上経過しています。
そして日々進歩を続けており、より機能的、審美的な治療が可能となってきています。
現在、インプラント治療の成功率は95~97%と非常に高く、歯を失った際に行う治療として、最もメリットの多い治療法と言われています。





当院のインプラント治療(コンセプト)

当院での治療は虫歯や歯周病などによって機能的にも審美的にも失われたお口の中の健康を取り戻し、その状態を維持し続けることを目的としています。
そのために、お口全体をトータルに治療を行い、その一環として、インプラント

による治療があると考えています。

歯を守る、お口の健康を守る、ひいてはそれが全身の健康につながるように、最善なインプラント治療を心がけています。

極力抜歯をしない
  インプラントは人工のもので、自分の歯に勝るものではありません。例え治療が困難で時間がかかったとしても、極力抜歯をせずに歯を温存する治療方法を選択します。
原因の除去
  歯を失った原因を解決しなければ、インプラントもまた失いかねません。そのために徹底して歯を失った原因に対する治療を行い、インプラントの長期的な安定をめざします。
トータルな治療
  歯を失った部分だけをみてインプラント治療を行ってもよい状態を得られるとは限りません。お口全体の中で、歯とインプラントの調和を図りながら、治療を進めていきます。
アフターケアの充実
  インプラント治療において一番難しいことは、よいコンディションで維持していくことです。そのために充実したメインテナンスシステムで炎症と噛み合わせのコントロールをしていきます。
安全であること
  診査、診断におけるCT撮影、シミュレーションからサージカルガイドを使った手術、さらにメインテナンスに至るまで、すべての過程において安全を第一に考え、治療を行います。



インプラントと歯周病治療
歯を失う3つの大きな原因は歯周病、虫歯、破折です。
特に歯周病は細菌感染による慢性疾患のため、歯を失った原因が歯周病であれば、残っている歯が歯周病にかかっている可能性は十分にあります。
そのため、残っている歯に対して徹底して歯周病の治療を行い、それでも残っている歯だけでは噛む力に耐えられない場合、インプラント治療をすることでその歯に対する負担を軽くし、お口の中全体が長期的に安定した状態を保つことが可能になります。
また、インプラントは虫歯にはなりませんが、歯周病には感染します。
インプラント自体を長持ちさせるためにも、歯周病治療は避けては通れない重要かつ必須な治療です。



インプラント治療をあきらめていた方へ
従来、十分な骨の高さと幅がない場合、インプラント治療はできないとされてきました。
しかし、 現在では、GBR法(骨誘導再生法)、骨移植術、サイナスリフト(上顎洞底挙上術)などの先進医療により、失った骨を再生する技術が開発されてきています。
当院でもこれらの治療技術を習得し、骨の量が足りなくて、あきらめていた多くの方にもインプラント治療を行っています。
お悩みの方はご相談ください。

 



信頼のおけるインプラント
インプラントの種類は世界で数百あると言われていますが、なかでも信頼のおけるインプラントとは、十分な時間をかけて研究、開発を行い、その後もインプラントがどのような経過をたどっているかリサーチしている実績のあるものと考えます。
体に埋め込むいわゆる人工臓器になりますので、その質にはこだわりを持ちたいものです。
当院では十分な診査、診断を行い、下記のインプラントの中から最適なものを選択し、治療を行っています。

ストローマンインプラント
(スイス)

スリーアイインプラント
(アメリカ)

アストラテックインプラント
(スウェーデン)



インプラント、ブリッジ、義歯の比較
インプラントには多くのメリットがありますが、最大のメリットは『しっかりと噛める』ということです。 それは『噛み合わせの安定』にもつながります。
食べたいものを食べることができるということは何物にも代え難いことです。
さらに『骨の吸収を防ぐ』ということもお口の中の状態を維持し続けるための重要なメリットです。




治療の流れ
1.<診査・診断>
噛み合わせを診査するため、お口の中の型を取り、模型にします。模型からインプラントを植える場所に理想的な歯の形態を決め、それに基づき診断用装置(ステント)を作製します。診断用装置を使って、CTやレントゲンを撮影し、インプラントを植える場所の骨の量、形態、質を診査します。
2.<治療計画の立案・説明>
診査で集めたデータをシミュレーションソフトで解析し、治療計画を立案します。それを基に患者様と相談をし、最終的な治療方法を決定します。
3.<手術前治療>
歯を失った原因に対する治療やインプラント手術の際の感染リスクを減らすために、歯周病の基本治療などを行います。
お口の中の状態によって異なりますが、2ヶ月ほどかかります。
4.<インプラント1次手術>
骨の中にインプラント本体を植え、歯茎を閉じます。インプラントを植えること自体はさほど時間はかかりませんが、手術前にお口の中の清掃をしたり、レントゲンでインプラントを確認をしたり、手術後の全身状態の経過を診ますので、当日は十分な時間の余裕をみておいてください。
インプラントが骨と結合するのに3ヶ月ほど待ちます。
5.<インプラント2次手術>
インプラントが骨と結合した後、歯茎を貫通したふたを取り付けます。1回法の手術では最初の手術でそこまでしますので、2次手術は必要ありません。
歯茎の形態が落ち着くまで、1ヶ月ほど待ちます。
6.<仮歯の装着>
二次手術後の歯茎の治りを待って、仮歯を作製し、インプラントに負荷をかけていきます。それと同時に実際に使用してもらいながら、噛み合わせ、清掃性を調整します。
状態によって異なりますが、1~3ヶ月ほど経過を診ていきます。
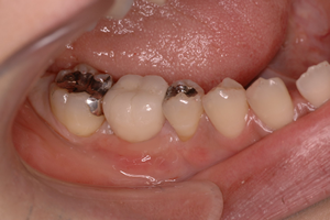
7.<最終的な歯の装着>
仮歯の調整で得た情報を最終的な歯の作製に反映させていきます。最後に歯の色を確認して装着します。
最終的な歯の作製にはおおよそ1ヶ月ほどかかります。
8.<メインテナンス>
インプラントをよいコンディションで長期間維持していくためには、細菌からの感染と噛む力のコントロールをしていくことが欠かせません。
それ故に、メインテナンスにはいつまでということはなく、極端に言えば一生のお付き合いと考えていただいた方がいいかと思います。


 
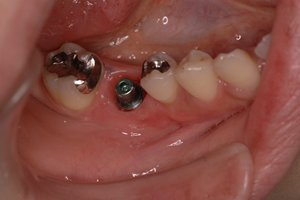
1. 歯がない状態   2. インプラント(人工歯根)

 
3. 人工歯を固定する柱   4. 人工歯を被せる



メインテナンス
インプラント治療の中で最も多いトラブルは細菌による炎症です。
インプラントの歯周病は治療方法が確立していないため、感染しないことが大切です。
基本は毎日のセルフケアですが、インプラントは自分の歯と比べてプラークコントロールが難しく、セルフケアだけでは限界があるので、定期的にクリニックでプロフェッショナルケアを受けることが重要です。
メインテナンスを続けることで、インプラントをよりよい状態で維持していくことができ、健康な生活を送ることが可能となります。

 






インプラントの費用・保証
当院では治療の段階に応じて、費用をいただいています。
1. 検査・解析
(模型、診断装置、CT、レントゲン、解析費用)
2. 手術
(手術代、インプラント)
3. 被せ物作製
(型採り、土台、仮歯、最終被せ物)
※骨や歯茎の再生治療を行った場合、別途費用が発生します。
 
治療後、継続してメインテナンスを受けられ、負担過重防止用のマウスピースを使用していただいている方には、インプラント本体、上部構造共に10年の保証を行っております。



Q&A
インプラント治療に年齢制限はありますか?
個人差はありますが、通常、骨の成長が終わる20歳前後からインプラント治療を受けることができます。
なお、年齢の上限はありません。


糖尿病などの慢性疾患でもインプラント治療を受けられますか?
糖尿病や喫煙はインプラントの成功率を下げるとの報告があります。医師の指導のもとに十分にコントロールされていれば大丈夫ですが、詳しい病状をお伝え下さい。


インプラント手術の際に入院が必要ですか?
インプラントを植える手術は通常、局所麻酔を使いますので、入院の必要はありません。手術当日に帰宅できます。


インプラント手術に痛みはありますか?
手術中できるだけ痛みがないように局所麻酔をしますので、手術中に痛みを感じることはありません。
ただし、麻酔が切れてからは痛みや腫れがでることもあります。その際には鎮痛剤、抗生剤等でコントロールしていきます。
手術に対して不安がある方には、腕の静脈に点滴で麻酔液を入れ、寝ている状態で治療を行う「静脈内鎮静法」という方法もありますので、ご相談下さい。


治療期間はどのくらいかかりますか?
お口の状態によって異なりますが、通常6ヶ月前後の治療期間が必要となります。
詳細は治療計画の説明の際にお伝えしています。


インプラントはどのくらいもちますか?
個人差はありますが、インプラントは適切なメインテナンスを行うことにより、長い期間にわたって、機能することが可能です。毎日のセルフケアと定期的なクリニックでのプロフェッショナルケアを受けることが重要です。


治療費はどのくらいかかりますか?
インプラントの本数、お口の状態によって異なります。
詳細は治療計画の説明の際にお伝えしています。


他院に通院している場合でも、セカンドオピニオンは可能ですか?
可能です。
ご相談やお悩みがございましたら、ご予約下さい。
(レントゲン撮影を行った場合は、撮影料が発生致します)






匠歯科クリニック
歯周再生・インプラントオフィス平尾
〒815-0084
福岡市南区市崎1丁目17-27 ルシール平尾2階
<アクセス>
西鉄大牟田線・・・西鉄平尾駅下車 徒歩5分
西鉄バス・・・69番 山荘通バス停下車 徒歩3分
※車でお越しの際は、1階の駐車場をご利用下さい
クレジットカードご利用いただけます(保険外診療)



 

匠歯科クリニック

院長 三松 匠哉
九州大学 歯学部卒
歯科医師臨床研修指導医
九州大学病院 歯科医師臨床研修施設
鹿児島大学病院 歯科医師臨床研修施設