マイクロスコープ治療・CT診断・再生療法・インプラント・審美治療・噛み合わせ・矯正・メインテナンス
ホーム
当院の特徴
院長・スタッフ紹介
医院案内
よくいただく質問
はじめての方
アクセス
虫歯治療・根管治療
歯周病治療
入れ歯治療
噛み合わせ治療
矯正治療
ホワイトニング
レーザー治療
マイクロスコープ精密治療
3D解析診断
再生療法
インプラント
審美治療
歯周形成外科
パウダーメインテナンス
安全正確なインプラント治療
(ガイデッドサージェリー)
自己血液による再生医療
(厚労省認定施設)
抗菌剤に頼らない治療
(光殺菌治療・プロバイオティクス)
高精度の歯科用顕微鏡
高解像度の歯科用CT
充実した診療設備
滅菌へのこだわり
当院の特徴
院長・スタッフ紹介
医院案内
よくいただく質問
はじめての方
アクセス
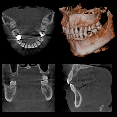
最先端のデジタルテクノロジーを駆使し、より少ないX線で高解像度な画像が得られる、CT撮影、パノラマ撮影が可能なレントゲン装置です。
さらに洗練された多彩な画像処理により、多角的な診査を行うことが出来ますので、的確な診断を行う上で重要な役割を担っています。
φ40×H40mmの局所領域から、全歯列対応のφ100×H80mmまで鮮鋭なCT画像が撮影可能です。
特徴
安全性が高い(医科用CTの1/10以下の照射線量)
撮影時間が短い(約9.4秒)
高解像度で歪みがない
少ない照射線量で全歯列の撮影が可能
必要に応じて撮影範囲の調整が可能
根管治療、歯周病、親知らず、インプラント、上顎洞、顎関節などの治療においてより正確な診査、診断が行えます。
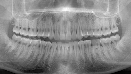
CT撮影画像
パノラマ画像
歯科用CTを使った診断についてもっと詳しく
匠歯科クリニック
歯周再生・インプラントオフィス平尾
〒815-0084
福岡市南区市崎1丁目17-27 ルシール平尾2階
<アクセス>
西鉄大牟田線・・・西鉄平尾駅下車 徒歩5分
西鉄バス・・・69番 山荘通バス停下車 徒歩3分
※車でお越しの際は、1階の駐車場をご利用下さい
クレジットカードご利用いただけます(保険外診療)
匠歯科クリニック
院長 三松 匠哉
九州大学 歯学部卒
歯科医師臨床研修指導医
九州大学病院 歯科医師臨床研修施設
鹿児島大学病院 歯科医師臨床研修施設
Copyright©TAKUMI DENTAL CLINIC. All Rights Reserved.